Mast Cell Tumor Boston Terrier: What Every US Dog Owner Should Know

Curious about a rare skin condition affecting a popular breed? Mast Cell Tumor Boston Terrier is gaining attention not just among groomers and vets, but among dog owners across the country. This breed-specific concern centers on a complex form of cancer—mast cell tumors—that appears with notable frequency in Boston Terriers, sparking important conversations about early detection and care. Stone Coin Boston Birkenstocks As more data emerges and dog health awareness grows, discussions fueled by curiosity, caution, and care are shaping how owners navigate prevention, diagnosis, and support.

Why Mast Cell Tumor Boston Terrier Is Rising in Public Awareness

Recent trends in canine health reporting highlight Boston Terriers as a hotspot for mast cell tumors, driving interest across search platforms. While breast cancer remains the most common skin issue in dogs, the specific clustering in Boston Terriers has caught attention due to genetic predisposition and rising awareness. Increased adoption of this lively, affectionate breed has paralleled deeper engagement with veterinary dermatology—making Mast Cell Tumor a relevant topic in pet care circles. South End Boston Things To Do Simultaneously, social media and digital forums empower owners to share experiences, raising early awareness and encouraging proactive health monitoring. Stone Coin Boston Birkenstocks

How Mast Cell Tumor Develops in Boston Terriers

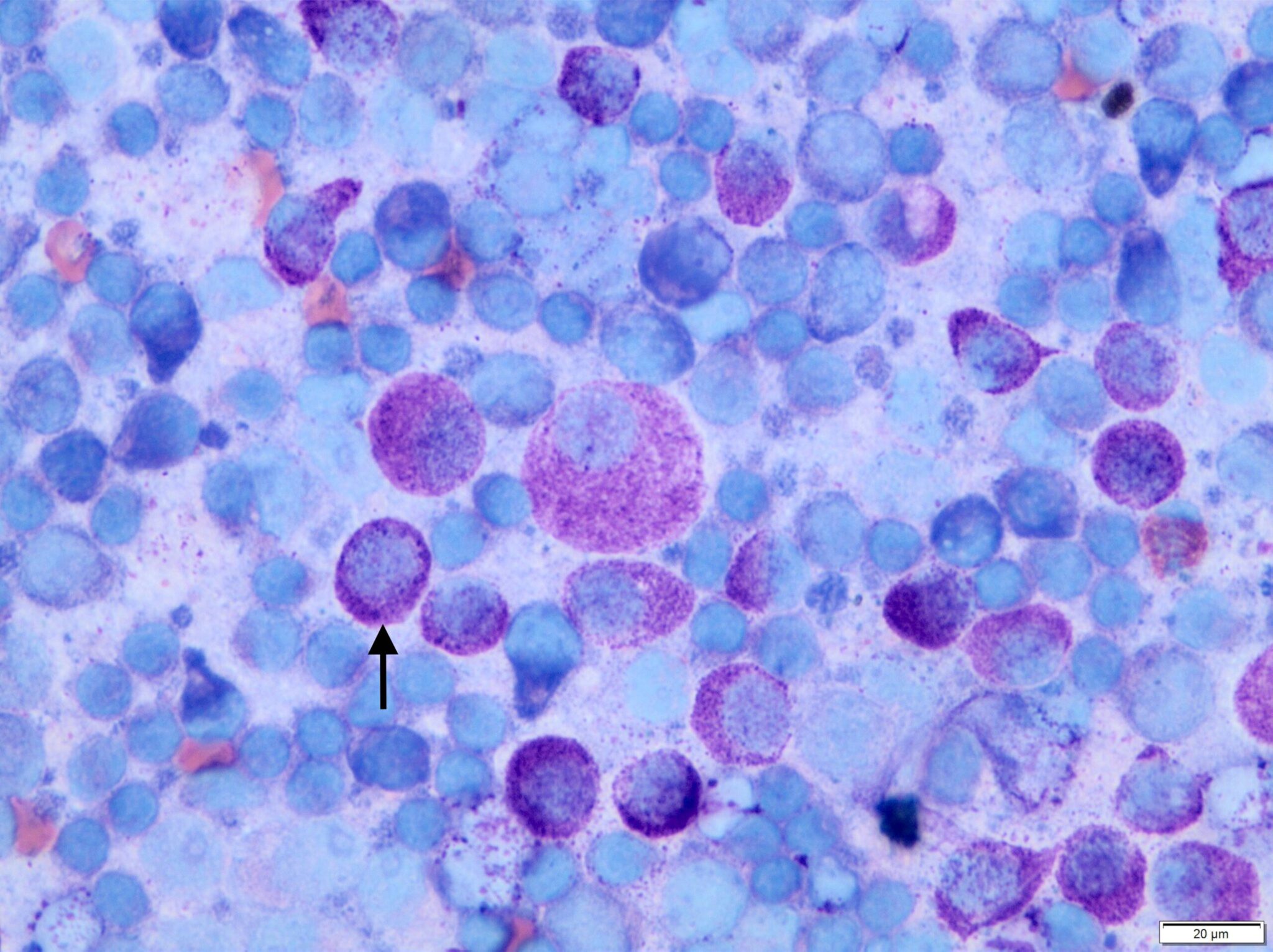
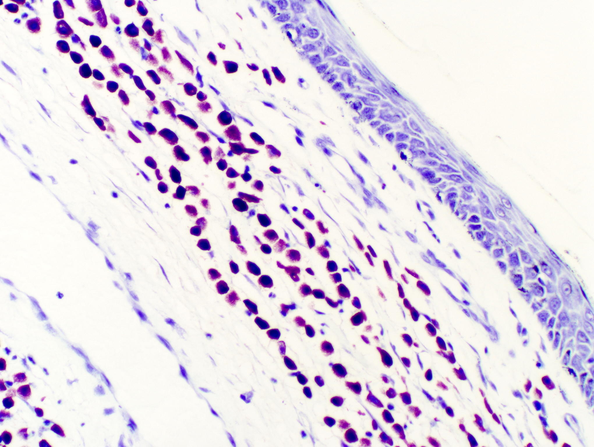
Mast Cell Tumor is a cancerous growth arising from mast cells—immune system cells found throughout the body. In Boston Terriers, this tumor often manifests as raised, itchy, or ulcerated skin lesions, though symptoms vary widely. Boston College Vs Vcu Its development is linked to complex genetic factors, meaning some lineages face higher risk. Detecting changes early—watching for unusual lumps, redness, or swelling—is crucial due to the tumor’s unpredictable behavior. While not aggressive in all cases, timely identification allows for better management options. Stone Coin Boston Birkenstocks

Frequently Asked Questions About Mast Cell Tumor in Boston Terriers

Q: How is Mast Cell Tumor diagnosed? A: Diagnosis typically combines physical examination, fine-needle aspiration, and biopsy. These tests confirm mast cell presence, assess malignancy levels, and guide treatment planning.

Q: What are common treatment options? A: Treatment depends on tumor type and location but may include surgical excision, radiation, or targeted therapies. Often, early surgery removes affected tissue successfully.

Q: Is Mast Cell Tumor curable? A: Outcomes vary—some tumors are localized and mildly responsive; others spread. With prompt veterinary care, many dogs achieve stable, long-term health. Follow-up monitoring remains essential.

Q: How common is this in Boston Terriers? A: While precise rates vary, mast cell tumors rank among the top skin conditions in Boston Terriers, fueled by breed-specific genetic profiles observed in veterinary studies.

Myth Busting Common Misconceptions

A persistent misconception is that all mast cell tumors are aggressive or fatal—this isn’t accurate. Many cases are slow-growing and localized. Another myth suggests only older dogs are at risk—though younger Boston Terriers can also develop them, prompting routine skin checks starting in early adulthood. Understanding these facts helps owners avoid unnecessary anxiety and focus on evidence-based care.

Broader Implications: What Owners Need to Know

Owning a Boston Terrier means staying observant—routine skin checks can catch changes early. While this condition carries emotional weight, advances in veterinary medicine offer real options. Prognosis depends on tumor grade, location, and treatment timing—never a one-size-fits-all outcome. Recognizing signs early empowers owners to work closely with vets, improving quality of life and long-term outcomes.

Who Should Consider Mast Cell Tumor Awareness

This information matters most to Boston Terrier owners, breeders, and mixed-breed dog lovers with genetic overlap. Rescue groups and shelters increasingly screen for skin conditions to support healthier adoptions. For new or potential owners, awareness fosters informed decisions about care, insurance, and preventive medicine.

Soft Call to Stay Informed and Empowered

Mast Cell Tumor Boston Terrier is more than a veterinary issue—it reflects a broader movement toward transparency and proactive care in pet health. As research progresses and awareness spreads, early education becomes a powerful tool. Whether you’re researching, fostering, or simply concerned, staying informed helps you act confidently and compassionately.

Stay curious, stay vigilant, and let knowledge guide your next steps. Understanding Mast Cell Tumor Boston Terrier strengthens both your bond with your dog and your peace of mind—now and well into the future.

📌 Article Tags

🔑 Mast Cell Tumor Boston Terrier 📂 General 🏷️ Signs ofMast Cell Tumor Dogs 🏷️ Mast Cell TumorOn Dog 🏷️ Dog Mast Cell TumorOn Leg 🏷️ Mast Cell Tumorin Dog Mouth 🏷️ Mast Cell TumorOn Dog Head 🏷️ Dog Mast Cell TumorSymptoms 🏷️ Canine Mast Cell TumorCytology 🏷️ Boxer DogMast Cell Tumor 🏷️ Mast Cell TumorTreatment in Dogs 🏷️ FelineMast Cell Tumor 🏷️ Mast Cell TumorOn Dog Paw 🏷️ Cutaneous Mast Cell TumorDog 🏷️ Mast Cell TumorCat 🏷️ CanineMast Cells 🏷️ Mast Cell Tumorin Boxers 🏷️ Mast CellTumours Dogs 🏷️ Mast Cell TumorDog Ear 🏷️ Mast Cell TumorRemoval Dog 🏷️ Mast Tumor Cellfor Dogs 🏷️ Mast Cell TumorGolden Retriever 🏷️ MalignantMast Cell Tumor 🏷️ MCT Dog 🏷️ Mast Cell TumorRupture 🏷️ Mast CellTumour Pug 🏷️ Small Mast Cell TumorDog 🏷️ Digit Mast CellTumour Dog 🏷️ Mast Cell TumorPitbull 🏷️ Mast Cell TumorDog Appearance 🏷️ FerretMast Cell Tumor 🏷️ Benadryl for Dogs withMast Cell Tumors 🏷️ Mast Cell TumorDog Nose 🏷️ Mast Cell TumorOn Dog Skin Cancer 🏷️ Mast Cell TumorVeterinary Partner 🏷️ Mast CellDog Lip 🏷️ Dog Mast Cell TumorSupplement 🏷️ Mast Cell TumorBulldog 🏷️ Mast CellDog Toe 🏷️ Dog Eye Cancer 🏷️ Ruptured Mast Cell TumorCanine 🏷️ Dog Mast Cell TumorOn Muzzle 🏷️ Mast Cell TumorUnder Microscope 🏷️ Mast Cell TumorOn Ultrasound of a Dog 🏷️ Grade 1Mast Cell Tumor Dog 🏷️ Boston TerrierSkin Cancer 🏷️ Mast Cell TumorsRhodesian Ridgeback 🏷️ Boston TerrierTemperament 🏷️ Mast Cell TumorTreatmentn in Dogs 🏷️ Mastocytoma Dog 🏷️ Spindle Cell Tumorin Boston Terrier 🏷️ BullTerrier Mast Cell Tumor